
これまで多くの患者様にインプラント治療を受けていただいております。
当院でおこなわれたインプラント治療の症例を一部ご紹介いたします。

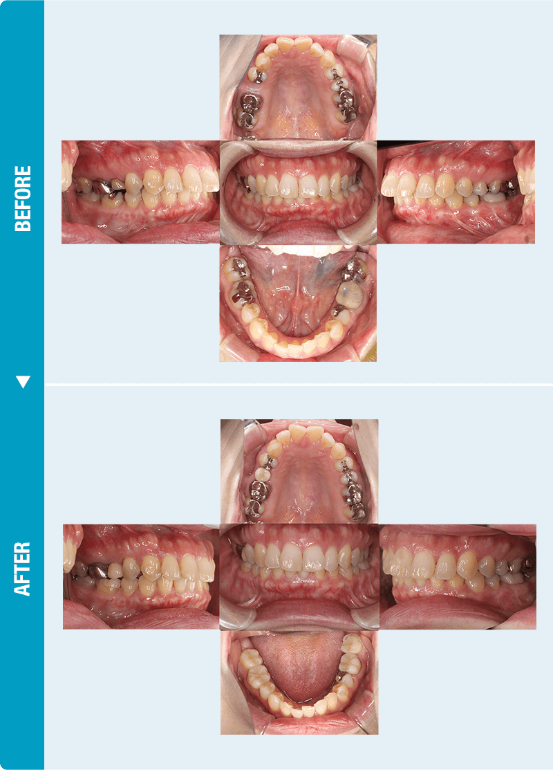
長い間、矯正治療を続けられた患者さんです。左右の同じ部位にインプラント治療をおこないました。
手術に伴い腫れや痛み、違和感を感じるなどの事例があります。


インプラントの治療は人工の歯根を歯が失われた所に手術で埋めて、人工の歯をつなげる治療です。前歯の治療でも比較的きれいに仕上げることができます。
手術に伴い腫れや痛み、違和感を感じるなどの事例があります。


左下の奥歯の根元が長い間炎症して腫れていました。このまま様子を見て治療をしても解決が難しい為、残念ながら抜歯になりました。インプラントは入り、腫れなどの症状も改善しています。
手術に伴い腫れや痛み、違和感を感じるなどの事例があります。


左下の奥歯の奥歯が折れてしまい、抜歯になりました。入れ歯はしたくないとのことでインプラント治療を施しました。
手術に伴い腫れや痛み、違和感を感じるなどの事例があります。


以前に右下のインプラント治療を受け、左下についてもインプラントを実施
手術に伴い腫れや痛み、違和感を感じるなどの事例があります。


右下の奥に2本のインプラント治療を施しました。義歯が合わず、使わなくなってしまった為、インプラントにし、噛み合わせを改善しました。
手術に伴い腫れや痛み、違和感を感じるなどの事例があります。


インプラントと他の歯もジルコニアで治療されています。
手術に伴い腫れや痛み、違和感を感じるなどの事例があります。

患者さんの症状やご要望に幅広くお応えできるよう、さまざまな治療法を導入しております。
ご不明な点がありましたら、お気軽にお電話、もしくは来院の際、医師に直接お訪ねください。